Precision Medicine

MHRA Approves Inavolisib For PIK3CA-Mutant Breast Cancer

By Team VOH
Published on:
MHRA Approves Inavolisib For PIK3CA-Mutant Breast Cancer

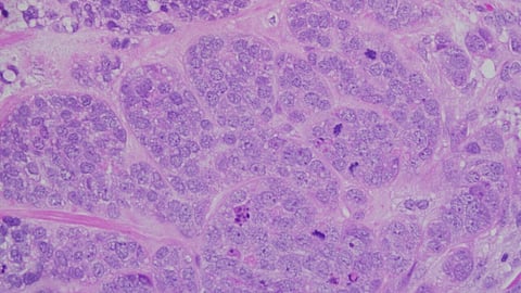
The MHRA has granted approval for Inavolisib, marketed under the name Itovebi, providing a new treatment option for adults diagnosed with hormone receptor positive and HER2 negative breast cancer whose disease has either returned or progressed after undergoing hormone therapy.

This decision introduces an additional targeted therapy pathway for patients whose cancer continues to advance despite previous treatment, offering clinicians another choice when managing cases in which standard endocrine approaches are no longer effective.

The newly authorised medicine is intended specifically for people whose breast cancer carries a PIK3CA mutation, a common genetic alteration that can drive tumour growth and resistance to treatment.

By approving Itovebi for this patient group, the regulator aims to support more personalised care and make available a treatment option that aligns with the underlying biology of the disease, thereby helping patients access a therapy designed to address an important molecular feature of their cancer.

Also Read

Climate-Vulnerable Districts Show 25% Higher Risk of Underweight Children: Study
Breast CancerHER2Inavolisib
Decorative element

Why should

You Choose Us

Get In Touch

Events & Summits

Host or sponsor events that place your brand at the forefront of healthcare impact.

Podcast Features

Engage a wider audience with thought leadership shared across VOH's podcast channels.

Brand Solutions

Take center stage at healthcare forums to spark conversations and share bold perspectives.

MHRA Approves Inavolisib For PIK3CA-Mutant Breast Cancer - VOH Network | Voice of Healthcare