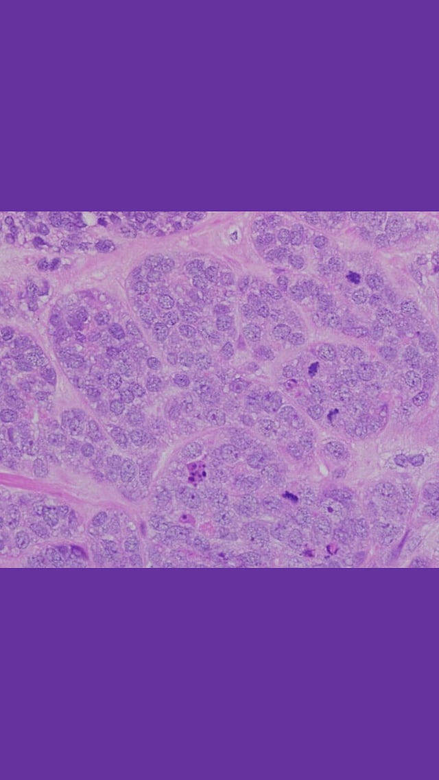
MHRA Approves Inavolisib For PIK3CA-Mutant Breast Cancer

By Team VOH

The MHRA has granted approval for Inavolisib, marketed under the name Itovebi

Read more