MHRA Approves Inavolisib For PIK3CA-Mutant Breast Cancer 
Precision Medicine

MHRA Approves Inavolisib For PIK3CA-Mutant Breast Cancer

By Team VOH

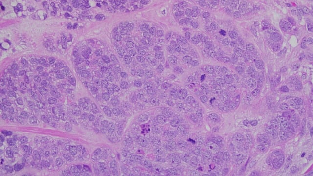
The MHRA has granted approval for Inavolisib, marketed under the name Itovebi, providing a new treatment option for adults diagnosed with hormone receptor positive and HER2 negative breast cancer whose disease has either returned or progressed after undergoing hormone therapy.

This decision introduces an additional targeted therapy pathway for patients whose cancer continues to advance despite previous treatment, offering clinicians another choice when managing cases in which standard endocrine approaches are no longer effective.

The newly authorised medicine is intended specifically for people whose breast cancer carries a PIK3CA mutation, a common genetic alteration that can drive tumour growth and resistance to treatment.

By approving Itovebi for this patient group, the regulator aims to support more personalised care and make available a treatment option that aligns with the underlying biology of the disease, thereby helping patients access a therapy designed to address an important molecular feature of their cancer.

Also Read

SCROLL FOR NEXT